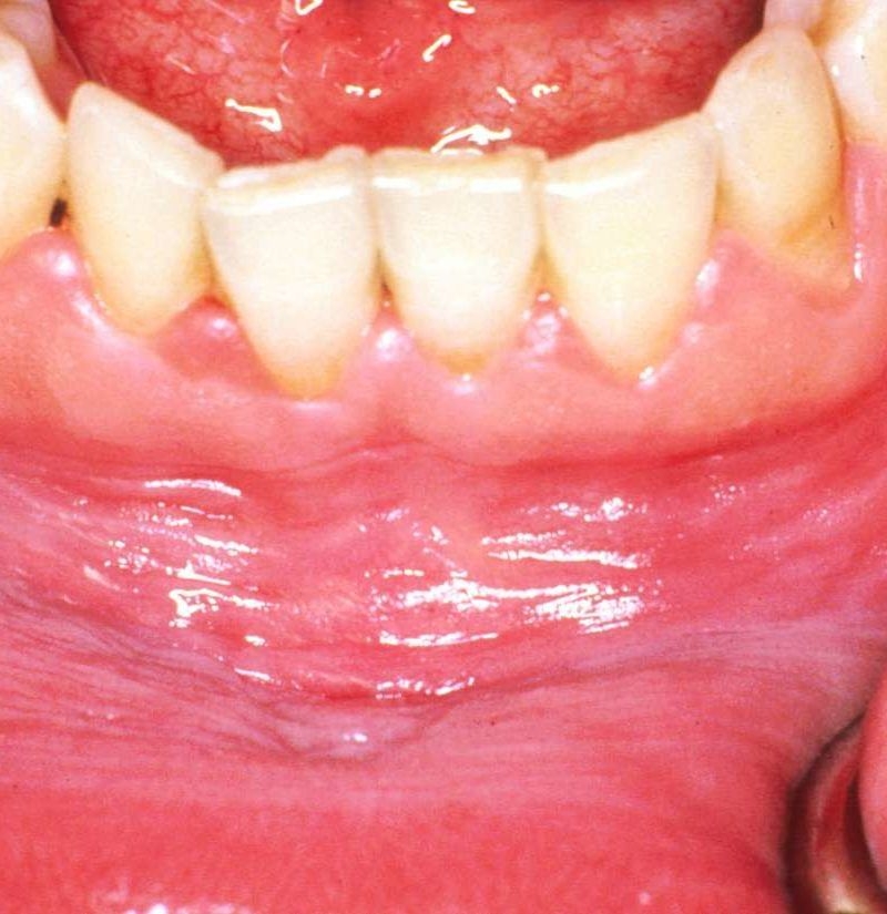
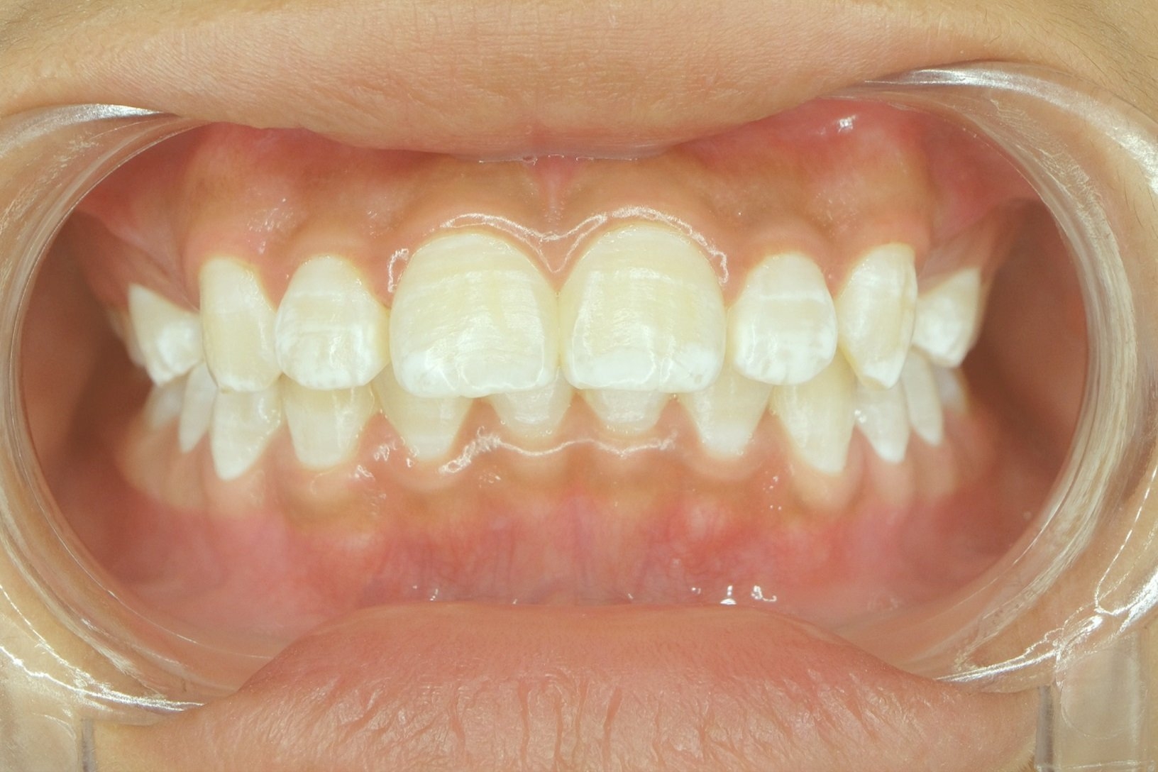
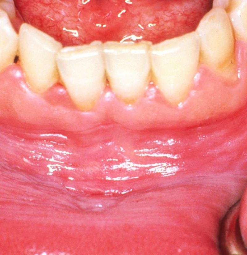
White dots on gums can be a cause of concern for many people as they can be painful and uncomfortable. These white spots can appear for various reasons and it is important to understand the possible causes and treatment options.
It is essential to pay attention to any changes in your oral health, including the appearance of white dots on your gums. These white spots can be a sign of an underlying issue that may require medical attention.
Causes of White Dots on Gums
White dots on gums can be caused by a variety of factors, including canker sores, oral thrush, or even oral cancer. Canker sores are small, painful ulcers that can develop on the gums and other areas of the mouth. Oral thrush is a fungal infection that can also cause white patches on the gums. In more severe cases, white dots on gums can be a symptom of oral cancer, which requires immediate medical attention.
Additionally, poor oral hygiene, smoking, or certain medications can also contribute to the development of white dots on the gums. It is important to consult with a dentist or healthcare provider to determine the underlying cause of the white spots and to determine the appropriate treatment plan.
Treatment for white dots on gums may vary depending on the cause. For canker sores, over-the-counter medications or mouth rinses can help alleviate pain and promote healing. Oral thrush may require antifungal medications prescribed by a healthcare provider. In cases of oral cancer, treatment options may include surgery, radiation therapy, or chemotherapy.
Preventative measures such as maintaining good oral hygiene, quitting smoking, and avoiding irritants that can cause canker sores can help reduce the risk of developing white dots on the gums. Regular dental check-ups and screenings can also help detect any oral health issues at an early stage.
In conclusion, white dots on gums can be a painful and concerning issue that should not be ignored. It is important to seek medical advice if you notice any changes in your oral health, including the appearance of white spots on your gums. By addressing the underlying cause and following a treatment plan, you can alleviate pain and discomfort and maintain good oral health.
